6400 COLETOVILLE RD , Victoria, Texas, USA
+ (57) 456456
logo
Opening Hours: 24/7
Free Appointment at any time to suit you

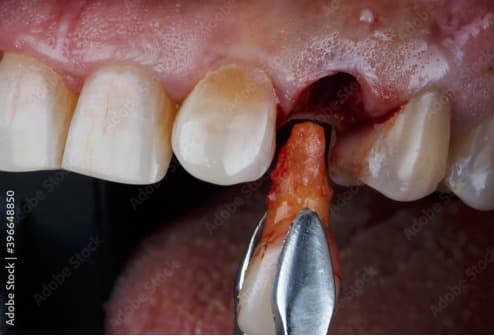
Tooth Extractions

doctor profile
Dr. Benjamin DavisChief Dental SurgeonDMD, MSc
Tooth Extractions
About Tooth Extractions

Why Tooth Extractions?

Tooth extractions become necessary in cases of severe damage, advanced decay, overcrowding, or as part of orthodontic treatment. While our goal is always to preserve natural teeth, extractions are sometimes the best course of action to ensure overall oral health and prevent further complications.

The Indications for Tooth Extractions:

  • Irreparable Damage: Teeth that are extensively damaged due to decay, trauma, or fractures may require extraction when other treatment options are not viable.
  • Advanced Gum Disease: In cases of advanced periodontal disease where teeth are compromised and pose a risk to surrounding tissues, extractions may be recommended.
  • Orthodontic Needs: Overcrowded teeth may necessitate extractions to create space for proper alignment during orthodontic treatment.

How are Tooth Extractions Done:

  • Comprehensive Examination: Our experienced team conducts a thorough examination, utilizing diagnostic tools such as X-rays to assess the condition of the affected tooth and surrounding structures.
  • Treatment Planning: Based on the examination, a personalized treatment plan is devised to address the specific reasons for extraction and consider potential replacement options.
  • Procedure Execution: During the extraction procedure, the tooth is carefully and gently removed from its socket. Local anesthesia ensures a painless experience.
  • Post-Extraction Care: After the extraction, we provide guidance on post-operative care, including instructions for managing any discomfort and promoting proper healing.

Types of Extractions:

  • Simple Extractions: Typically performed on visible teeth that can be easily accessed, involving the use of forceps to gently remove the tooth.
  • Surgical Extractions: Necessary for impacted or partially erupted teeth, surgical extractions involve making a small incision to access and remove the tooth.

Aftercare and Future Oral Health:

  • Healing Process: Proper care post-extraction is crucial for the healing process. We provide guidance on activities to avoid and recommend appropriate pain management.
  • Replacement Options: In cases where tooth replacement is necessary, we discuss various options, including dental implants, bridges, or dentures.

Contact Us:

If you are facing the prospect of a tooth extraction, rest assured that our compassionate team is here to guide you through the process with the utmost care and expertise. Schedule a consultation today to discuss your individual needs and explore the best path for maintaining your oral health.

ico
Gallery
image
image
image
image
image
image
image
image
Explore other Treatments
Root canal treatment
Root canal treatment
A dental procedure performed to save a severely decayed or infected tooth
Dental Implants
Dental Implants
Dental Implants are the gold standard for replacing missing teeth, providing a permanent and natural-looking solution.
Dental Crown and Bridges
Dental Crown and Bridges
A dental crown is a custom-made cap that covers a damaged, decayed, or weakened tooth, restoring its shape, size, and appearance.
Dental Fillings
Dental Fillings
Dental Fillings play a crucial role in treating cavities and restoring the structural integrity of damaged teeth.
Teeth whitening.
Teeth whitening.
Teeth Whitening is a popular cosmetic dental procedure designed to lighten the color of your natural teeth, removing stains and discoloration.
Tooth Extractions
Tooth Extractions
Tooth extractions become necessary in cases of severe damage, advanced decay, overcrowding, or as part of orthodontic treatment.
Orthodontic Treatment
Orthodontic Treatment
Orthodontic treatment focuses on correcting misaligned teeth, bite issues, and overcrowding.
Pulp therapy
Pulp therapy
Pulp Therapy, also known as root canal treatment for primary (baby) teeth, is a dental procedure that aims to save a tooth when the pulp becomes infected or damaged.
See More
cancel
Chat with receptionist
chat

Chat with our receptionist for general inquiries or booking an appointment.

avatar
Receptionist
onlineOnline
chat attachment
sent button arrow